MASIGNCLEAN101

Cerebral Venous Sinus Thrombosis - Dural venous sinus thrombosis | Radiology Reference ...

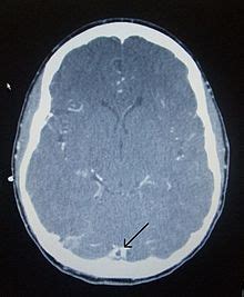
Cerebral Venous Sinus Thrombosis - Dural venous sinus thrombosis | Radiology Reference .... Anatomical localization of venous thrombosis. Cerebral venous sinus density on noncontrast ct correlates with hematocrit. Do, m.d.department of neurosurgery & interventional neuroradiology, stanford. Cerebral venous sinus thrombosis occurs when a blood clot forms in the brain's venous sinuses. As a result, blood cells may break and leak blood into the brain tissues, forming a hemorrhage.

(a) ct scan of head with contrast (1 mm axial) showing left transverse sinus thrombosis. Recommendations on the evaluation and management of cerebral venous thrombosis during pregnancy and in the pediatric population are provided. Do, m.d.department of neurosurgery & interventional neuroradiology, stanford. It's most common clinical manifestations are headache, seizures. Another had involvement of the straight sinus, vein of galen, and internal cerebral veins;

CT venogram showing a filling defect in the sagittal sinus ...
CT venogram showing a filling defect in the sagittal sinus ... from upload.wikimedia.org
Cerebral venous thrombosis (cvt) or cerebral venous sinus thrombosis (cvst): Cerebral venous thrombosis is an important cause of stroke especially in children and young adults. Marks, m.d., and huy m. Do, m.d.department of neurosurgery & interventional neuroradiology, stanford. Another had involvement of the straight sinus, vein of galen, and internal cerebral veins; Cerebral venous sinus thrombosis is a rare entity. Omar choudhri, m.d., abdullah feroze, b.s., michael p. Little is known concerning the corresponding diagnostic value of.

Little is known concerning the corresponding diagnostic value of.

We aimed to update the previous european federation of neurological societies guidelines using a clearer and. Acute symptomatic seizures in cerebral venous thrombosis. H u h n a. Little is known concerning the corresponding diagnostic value of. A thrombotic obstruction of the cerebral veins and/or related anatomical structures (dural sinuses) which drain blood from the brain. Cerebral venous thrombosis (cvt), also called cerebral venous sinus thrombosis (cvst), is a cerebrovascular disease with diverse clinical manifestations that often affects young adults, women of childbearing age, and children. Cerebral venous sinus thrombosis is a rare entity. An unusual diagnosis and management of cerebral venous thrombosis: It's most common clinical manifestations are headache, seizures. Background and purpose—in cerebral venous thrombosis (cvt), the sensitivity of conventional mri sequences to detect clot in the sinuses or veins is incomplete and largely depends on the time elapsed since thrombus formation. The cavernous sinus is one of the several cerebral veins and cavernous sinus thrombosis is a specific type of cerebral venous (sinus) thrombosis. Another had involvement of the straight sinus, vein of galen, and internal cerebral veins; One patient had thrombosis in both the superficial and deep systems;

Cerebral venous sinus thrombosis occurs when a blood clot forms in the brain's venous sinuses. H u h n a. A thrombotic obstruction of the cerebral veins and/or related anatomical structures (dural sinuses) which drain blood from the brain. Cerebral venous sinus thrombosis is a rare entity. An unusual diagnosis and management of cerebral venous thrombosis:

UK regulator reports 30 cases of rare blood clot events ...
UK regulator reports 30 cases of rare blood clot events ... from image.assets.pressassociation.io
Efns guideline on the treatment of cerebral venous and sinus thrombosis. (a) ct scan of head with contrast (1 mm axial) showing left transverse sinus thrombosis. An unusual diagnosis and management of cerebral venous thrombosis: Demographics of affected patients reflects underlying predisposing factors, which are identified in the majority of cases (87.5%) with many patients having. Another had involvement of the straight sinus, vein of galen, and internal cerebral veins; Common subtypes include transverse sinus thrombosis and superior sagittal sinus. Silvis, sini hiltunen, et al. Cerebral venous thrombosis (cvt) or cerebral venous sinus thrombosis (cvst):

К a 1 b a g r.

Cvst is an uncommon type of stroke. Cerebral venous thrombosis (cvt), also called cerebral venous sinus thrombosis (cvst), is a cerebrovascular disease with diverse clinical manifestations that often affects young adults, women of childbearing age, and children. Imaging of cerebral venous thrombosis. Die thrombosen der intrakraniellen venen und sinus, stuttgart, 1965; Cerebral venous sinus thrombosis (cvst) is a clot in the venous drainage system of the brain and can present to ophthalmology. Cerebral venous sinus thrombosis created by paul young 22/11/07. See that article for a discussion of that specific clinical entity. Recommendations on the evaluation and management of cerebral venous thrombosis during pregnancy and in the pediatric population are provided. An unusual diagnosis and management of cerebral venous thrombosis: It's most common clinical manifestations are headache, seizures. Little is known concerning the corresponding diagnostic value of. Current guidelines on cerebral venous thrombosis (cvt) diagnosis and management were issued by the european federation of neurological societies in 2010. Cerebral venous sinus thrombosis occurs when a blood clot forms in the brain's venous sinuses.

As a result, blood cells may break and leak blood into the brain tissues, forming a hemorrhage. Cerebral venous sinus thrombosis created by paul young 22/11/07. This prevents blood from draining out of the brain. Acute symptomatic seizures in cerebral venous thrombosis. Cerebral venous sinus thrombosis is a rare entity.

Cerebral venous sinus thrombosis: Brain venous sinuses ...
Cerebral venous sinus thrombosis: Brain venous sinuses ... from media.kare11.com
We aimed to update the previous european federation of neurological societies guidelines using a clearer and. К a 1 b a g r. Omar choudhri, m.d., abdullah feroze, b.s., michael p. This series, the patients were young, with a very high rate of complications (58%), although cerebral venous thrombosis (cvt) is a rare condition and is less frequent than other cerebrovascular accidents, can be more difcult to diagnose. Cerebral venous sinus thrombosis (cvst) is the presence of a blood clot in the dural venous sinuses, which drain blood from the brain. Thrombosis of cerebral veins and venous sinuses is a rare disease, which accounts for less than 1% of all cases of stroke. Cerebral venous sinus thrombosis (cvst) is a clot in the venous drainage system of the brain and can present to ophthalmology. Cerebral venous sinus density on noncontrast ct correlates with hematocrit.

Cerebral venous sinus density on noncontrast ct correlates with hematocrit.

Demographics of affected patients reflects underlying predisposing factors, which are identified in the majority of cases (87.5%) with many patients having. Characteristic, but rare, is the occurrence of unilateral hemispheric. This series, the patients were young, with a very high rate of complications (58%), although cerebral venous thrombosis (cvt) is a rare condition and is less frequent than other cerebrovascular accidents, can be more difcult to diagnose. Efns guideline on the treatment of cerebral venous and sinus thrombosis. Another had involvement of the straight sinus, vein of galen, and internal cerebral veins; Silvis, sini hiltunen, et al. In this regard, headache is often the only complaint of patients with thrombosis of cerebral venous sinuses. Cerebral venous sinus thrombosis (cvst) is a clot in the venous drainage system of the brain and can present to ophthalmology. Background and purpose—in cerebral venous thrombosis (cvt), the sensitivity of conventional mri sequences to detect clot in the sinuses or veins is incomplete and largely depends on the time elapsed since thrombus formation. Hanprasertpong t., hanprasertpong j., riabroi k. Acute symptomatic seizures in cerebral venous thrombosis. Thrombosis of cerebral veins and venous sinuses is a rare disease, which accounts for less than 1% of all cases of stroke. К a 1 b a g r.

Share This :